Characterization of Adrenal lesions 2.0

New threshold and no more Wash Out CT

Nanda Krak¹ and Robin Smithuis²

¹Radiology Department of Waikato Hospital, Hamilton, New Zealand and ²Alrijne Hospital in Leiden, the Netherlands

Publicationdate

Adrenal lesions are frequently encountered, being identified in approximately 5% of CT examinations.
These lesions are often detected during the evaluation of patients with known malignancy or endocrine disorders; however, the majority are discovered incidentally on imaging studies performed for unrelated indications—not as part of oncologic staging or due to suspected adrenal pathology.
Most such incidentalomas are benign, posing a clinical challenge to differentiate them from malignant masses without subjecting patients to unnecessary and burdensome further investigation.

This article will review specific adrenal tumors and discuss updated guidelines for the management of incidentalomas, including:

  • Discontinuation of adrenal washout CT in the assessment of adrenal incidentalomas.
  • Elevation of the benignity threshold to ≤20 HU for lesions measuring <4 cm on noncontrast CT.

Incidentalomas

Systematic approach

Step 1 - Is it a true Adrenal Incidentaloma?
> 1cm, no endocrine/adrenal symptoms, no prior or current malignancy.

Step 2 - What is the density on a noncontrast CT and what is the size?

  • Benign: < 10HU (any size) or 10-20HU (1-4 cm). No further imaging is needed.
  • Likely benign: 10-20HU (> 4cm) or > 20 HU (1-4 cm). Do a follow up scan at 6-12 months to look for growth.  There is convincing evidence, that adrenal tumors under 4 cm with density 11-20 HU are virtually always benign [ref 1] [ref 2].
  • Higher risk: > 20HU and > 4 cm. Discuss in multidisciplinary team/surgical referral.
  • Consider a more cautious approach if >40HU and/or > 6cm.


Step 3 - C
linical and hormonal assessment is recommmended in all patients with an incidentaloma.

The figure is based on the guidelines given by Seow et al in the article entitled "Washed up: the end of an era for adrenal incidentaloma CT"
We advise all readers to read this excellent article.


Post-contrast CT detected incidentalomas
For adrenal incidentalomas first detected on post-contrast CT with indeterminate imaging features, a noncontrast CT  may be performed.
However, given the established low ~0.1% risk of malignancy of true AIs < 4 cm of any attenuation, it may be possible that ncCT could be delayed 6–12 months in this subgroup to simultaneously allow growth assessment.

For a long time, adrenal incidentaloma (AI) assessment has relied on two key principles:

  1. a noncontrast CT (ncCT) attenuation threshold of ≤10 Hounsfield units (HU) to indicate benignity, and
  2. adrenal washout CT (AWCT) for lesions exceeding this cutoff.


However, recent evidence and a critical reappraisal of existing data suggest that neither approach remains valid in contemporary adrenal incidentaloma diagnostics as clearly demonstrated by Seow et al in their review article  [ref].

With a strict definition of incidentaloma and endocrine evaluation for most adrenal lesions, the new guidelines are:

  • Discontinuing AWCT use in AI assessment, and
  • Raising the benignity threshold to ≤20 HU for lesions <4 cm on ncCT.

Seol et al. have proposed recommendations as outlined in the table.
The figure in the first paragraph serves as an illustrative representation of these guidelines.

Specific Adrenal tumors

Many adrenal lesions can be categorized as typically benign and need no follow up:

  • Lipid-rich adenoma (density <10HU)
  • Myelolipoma (macroscopic fat)
  • Cyst (low density, no enhancement)
  • Hemorrhage (appriopriate history, e.g. trauma or severe illness)
  • Longterm ( > 6 -12 months) unchanged lesions (+ no history of cancer)
  • Lesions that do not enhance

'No enhancement' is defined as less than 10HU difference between the unenhanced and enhanced CT.

Adrenal adenoma

Lipid-Rich Adenoma
Approximately 70% of adrenal adenomas are lipid-rich, characterized by high intracellular fat content and consequently demonstrating low attenuation on unenhanced CT.

Imaging Example
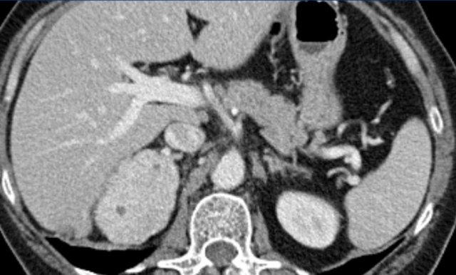
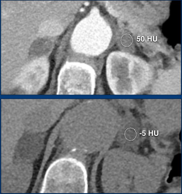
Bilateral adrenal incidentalomas were identified in a 64-year-old patient undergoing CT for evaluation of an abdominal aortic aneurysm.
Arterial phase imaging revealed bilateral adrenal lesions with a density of 50 HU.
Subsequent non-enhanced CT, performed several days later, demonstrated densities <10 HU in both adrenal glands, confirming the diagnosis of lipid-rich adenomas.

Lipid-Poor Adenoma
The remaining 30% of adrenal adenomas contain insufficient intracellular lipid to exhibit low attenuation values on unenhanced CT, thereby precluding differentiation from non-adenomatous lesions.
These adenomas are classified as lipid-poor.

Magnetic Resonance Imaging (MRI) with Chemical Shift Imaging
MRI utilizing in-phase and opposed-phase sequences can effectively demonstrate microscopic fat within adrenal adenomas. The presence of intracellular lipid results in a characteristic signal drop on opposed-phase images due to the chemical shift artifact.

Imaging Example
A 65-year-old female patient was found to have an incidental right adrenal mass during abdominal ultrasonography performed for evaluation of renal calculi.
Microscopic fat was confirmed by a signal drop on opposed-phase MRI imaging.
Given the lesion’s slight inhomogeneity and size of 5.2 cm, the patient underwent clinical and radiographic surveillance for two years.
The lesion remained stable in size and demonstrated no hormonal activity, leading to a final diagnosis of adrenal adenoma.

Atypical adenoma Atypical adenoma

Atypical adenomas

Lesions are considered atypical for adenoma if they show:

  • calcifications
  • signs of hemorrhage
  • necrosis
  • large size > 4 cm


Example
68 mm large hyperenhancing adrenal lesion with small calcifications and cystic spots.
The lesion was resected.
Pathology: adrenal adenoma.

Atypical adenoma example
A 7cm hyperenhancing adrenal lesion with small cystic spots.

The lesion was resected because of its large size and indeterminate imaging features.
Pathology: adrenal adenoma.

Atypical adenoma with hyperdense strands as a result of internal bleeding Atypical adenoma with hyperdense strands as a result of internal bleeding

Atypical adenoma example
76 mm left adrenal lesion with density < 0 HU, but with hyperdense strands.
Pathology: adrenal adenoma with internal bleeding.

Pheochromocytomas: strong enhancement in all 4 cases, even in the smaller tumors Pheochromocytomas: strong enhancement in all 4 cases, even in the smaller tumors

Pheochromocytomas

Pheochromocytomas (PCCs) are rare neuroendocrine neoplasms originating from the adrenal medulla. At presentation, these lesions commonly exceed 3 cm in diameter, with nonfunctioning tumors generally larger than hormonally active ones.

On noncontrast CT, PCCs typically demonstrate attenuation values >10 HU, which may be further elevated in the presence of hemorrhage.
Their rich vascular supply yields intense postcontrast enhancement.

While CT and MRI lack specificity in distinguishing PCCs from other adrenal masses, the clinical relevance of this limitation is mitigated, since only 10–20% of PCCs are asymptomatic, and biochemical screening via urinary and plasma metanephrine offers exceptional sensitivity (97–99%).
Given that all adrenal incidentalomas with unenhanced attenuation >10 HU require metanephrine testing, the vast majority of PCCs are reliably identified.

Large tumors are prone to hemorrhage and necrosis mimicking malignancy.

Image
Large PCC with central necrosis.

PCCs are associated with familial syndromes like multiple endocrine neoplasia (MEN), von Hippel-Lindau, neurofibromatosis type I, familial paraganglioma syndromes caused by SDH-gene mutations, Sturge-Weber syndrome and Carney triad.

Myelolipomas

Adrenal myelolipomas are benign, uncommon adrenal tumors (prevalence: 0.08–0.2%), composed of variable proportions of hematopoietic bone marrow elements and mature adipose tissue.

These lesions are typically asymptomatic, although large myelolipomas may become symptomatic due to mass effect or spontaneous hemorrhage.
The presence of macroscopic fat enables straightforward identification on CT or MRI.
On nonenhanced CT, attenuation values are characteristically below 0 HU.
Calcifications are observed in approximately 24% of cases.
At MRI, fatty components appear hyperintense on non–fat-saturated T1-weighted images and demonstrate signal dropout on fat-saturated T1- or T2-weighted sequences.

Images
Unenhanced CT image shows a large myelolipoma with bleeding and resorption of the hemorrhage on the follow-up scan.

Pitfall fatty lesions

The presence of macroscopic fat within an adrenal lesion is highly suggestive of myelolipoma; however, it has also been rarely described in adrenal adenomas, teratomas, metastatic clear cell renal cell carcinoma, pheochromocytomas, and adrenocortical carcinomas.

A diagnosis of adrenal myelolipoma can be confidently established if the macroscopic fat content exceeds 50%. Incidentally discovered, asymptomatic adrenal myelolipomas may be safely managed with surveillance.
Surgical resection is typically reserved for lesions larger than 7 cm, those causing symptomatic mass effect or pain, hormonally active tumors, or in cases complicated by hemorrhage.

Imaging Example
Two large, fat-containing adrenal lesions are demonstrated. Both lesions are well-demarcated and exhibit mixed soft tissue, fatty components, and focal calcifications.
Due to their substantial size (32 cm and 13 cm, respectively) and indeterminate origin, surgical excision was performed.

Pathology

  1. Liposarcoma with osteosarcomatous differentiation
  2. Oncocytoma with fatty and myeloid metaplasia

Cysts

Adrenal cysts are well-defined, round, homogenous, low-attenuation (<20 HU) lesions.
They may show calcifications or septations.

Images
Unenhanced and contrast-enhanced CT of a cyst.

Lesions with benign calcifications

Coarse rounded, peripheral or septal calcifications are typically benign and may be seen in:

  • Adenoma
  • Myelolipoma
  • Trauma
  • Granulomatous infection

Adrenocortical carcinoma

Adrenocortical carcinoma (ACC) is an extremely rare tumor.
About 60% are hormonally active and 80–90% are symptomatic.
Cushing's syndrome alone or a mixed Cushing's and virilisation syndrome are the most common presentation.
Virilisation, feminisation or hyperaldosteronism is an uncommon presentation.
Patients with nonfunctioning adrenocortical carcinomas usually present with abdominal symptoms like nausea, vomiting, abdominal fullness, flank or back pain due to the large size of the tumor.

Adrenocortical carcinomas may be sporadic or associated with hereditary syndromes, including MEN1, Lynch syndrome, Beckwith-Wiedemann syndrome and Li-Fraumeni syndrome.
Peak incidences are in early childhood and in the fourth and fifth decade of life.

Image
beschrijving....

ACC typical imaging features:

  • Bulky, irregularly shaped tumors
  • Most tumors are more than 6 cm at diagnosis.
  • Areas of necrosis, hemorrhage, and calcifications, which may be punctate, patchy, or irregularly nodular.
  • Spread to adjacent organs and regional lymph nodes.
  • IVC or renal vein invasion (9-19%).
  • Very rarely ACCs may have small areas of macroscopic fat.

Images
Axial and coronal CT images of another patient with an adrenal carcinoma with extensive IVC invasion (yellow arrow).

IVC and renal vein tumor invasion are seen in up to 20% of cases.

At diagnosis, over 50% of patients with adrenocortical carcinoma present with stage III or IV disease, accounting for the poor prognosis associated with this malignancy.
The 5-year survival rates are approximately 50% for stage III and 15% for stage IV disease.

Staging evaluation must therefore include assessment for adjacent organ invasion, regional lymphadenopathy, and distant metastases, which most frequently involve the lungs, liver, and bones.

Images
Large right adrenal carcinoma with extensive abdominal and mediastinal para-aortic lymph node metastases (arrow).